A BD CLÍNICA DENTAL tractem i solucionem tot tipus de patologies relacionades amb l’ATM (articulació temporo mandibular). L’ATM és l’articulació de la mandíbula inferior, en la que es generen les patologies emmarcades dins del síndrome de disfunció crani mandibular. Aquest síndrome està associat en la majoria de casos a contractures musculars de la boca i de la cara, apretament de les dents (bruxisme), mals de cap, marejos, migranyes i sorolls articulars.

Què és el bruxisme?
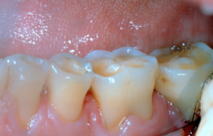
El bruxisme és l’hàbit involuntari d’estrènyer o grinyolar les dents, generalment durant el son. Això pot causar desgast dental, dolor a la mandíbula i altres problemes relacionats amb la boca i el cap.
El bruxisme es pot donar tant en adults com en nens (aquests solen tenir episodis de bruxisme durant la dentició de llet i dentició mixta), i pot ser diürn o nocturn.
Quines són les causes del bruxisme?
El bruxisme, o fet conegut com grinyolar de dents, pot tenir diverses causes, entre les quals hi trobem l’estrès, l’ansietat, la tensió emocional o una mala alineació de les dents. També s’acostuma a relacionar amb factors com la postura incorrecta de la mandíbula o com a conseqüència de la incomoditat del cos durant la nit.

Quins són els símptomes i signes del bruxisme?
El bruxisme es manifesta a través de símptomes i signes com el grinyolar de dents nocturn, dolor facial al despertar, desgast dental anormal, mals de cap, tensió als músculs mandibulars, sensibilitat dental, trastorns del son, i ocasionalment, inflor a la mandíbula .

Com ha de tractar-se el bruxisme?
El tractament del bruxisme generalment s’associa a l’ús de fèrules de descàrrega. Aquest tractament consta de la col·locació de la fèrula damunt de les dents per reduir el dany dental causat pel grinyolar-les.
Aprendre a gestionar l’estrès o fer fisioteràpia per relaxar la musculatura poden ser un procés terapèutic per mitigar aquest hàbit, i en alguns casos, l’ús de medicaments o la correcció de l’alineació dental amb ortodòncia poden ser part del tractament. Canvis en els hàbits i la consciència del problema també en són components importants.

Formulari de contacte
Els camps amb * són obligatoris
