
Casos realitzats de blanquejament dental
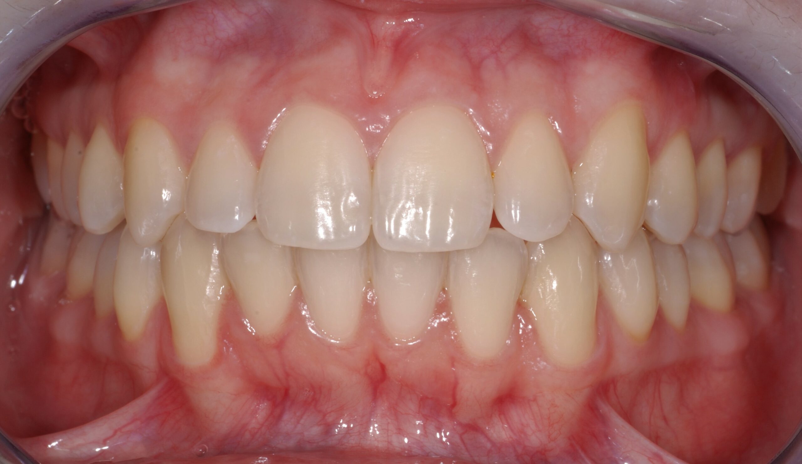
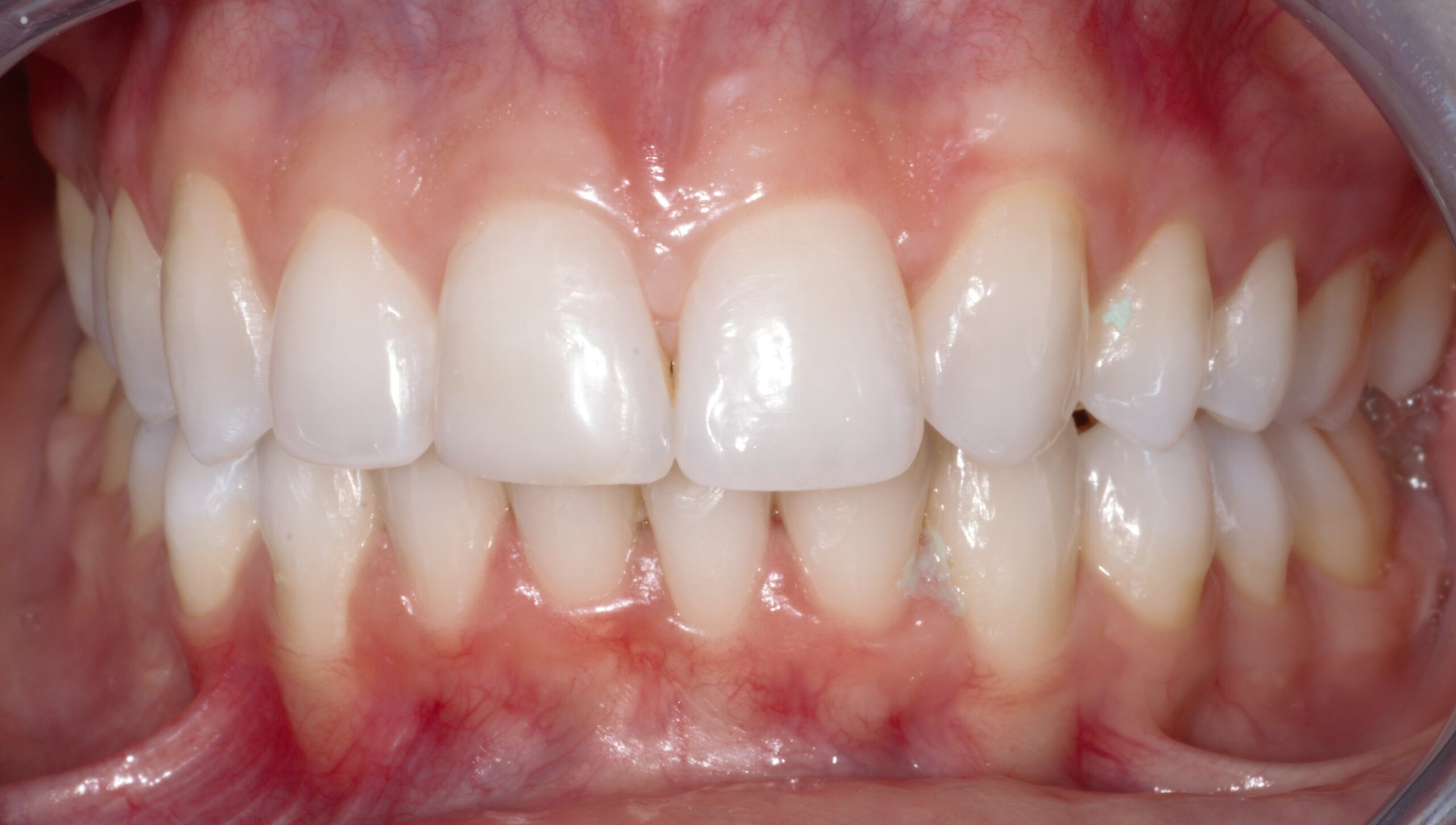
Cas 1

Inici

Final
Què és el blanquejament dental i quin és el seu objectiu?
El procés de Blanquejament dental reuneix una sèrie de procediments que estan destinats a aclarir la tonalitat d’un grup de dents o la seva totalitat, que presenten preocupacions estètiques en el color, o fins i tot d’una sola dent que ha experimentat un enfosquiment a causa d’una endodòncia o lesió dental.
El blanquejament de les dents es pot dividir en dues categories: un és el blanquejament intern (restringit a dents no vitals) i l’altre és el blanquejament extern.
L’objectiu principal és aconseguir unes dents blanques alhora que un somriure molt més brillant. Hi ha diferents mètodes que es poden fer servir, però és imprescindible conèixer-los abans de prendre una decisió.

Què cal fer per blanquejar les dents?
Quan parlem del Blanquejament Extern, parlem de 2 tècniques diferents: el Blanquejament Ambulatori(realitzat a casa), el Blanquejament a la Clínica dental o una combinació de tots dos.
Blanquejament Ambulatori: En aquest mètode, s’elaboren fèrules personalitzades que s’ajusten a la boca del pacient, juntament amb un kit que t’emportes a casa el qual conté diversos gels blanquejadors. El pacient ha d’aplicar el gel a la fèrula i seguir les indicacions que se li proporcionaran des de la clínica. Es faran seguiments acords a cada cas per avaluar el progrés i els canvis.
Blanquejament a la Clínica: En aquest procediment, s’aplica un producte blanquejador directament sobre les dents, i s’utilitza una llum especial per activar-lo. La durada d’aquest tractament sol ser d’una hora aproximadament i normalment els resultats es veuen al moment.
Blanquejament Mixt: Aquest tractament combina sessions a la clínica dental amb el blanquejament a casa, per la qual cosa es tracta d’un tractament híbrid. Normalment solen fer-se unes dues sessions a la clínica i es complementa amb un període en què el tractament es realitza a casa. Un dels avantatges d’aquesta metodologia respecte a l’Ambulatori és que els resultats se solen percebre des de la primera sessió.

És necessari modificar la meva dieta després d’un blanquejament dental?
Els dies posteriors al tractament és recomanable seguir una dieta que no inclogui aliments amb massa color ni colorants. Això serà només els primers dies. Cafè, begudes carbonatades, remolatxa, xocolata, tomàquet, pastanaga són aliments que caldrà evitar completament.
Quan temps dura el resultat d’un tractament de blanquejament dental?
La durada de l’efecte d’un blanquejament variarà en funció de la dieta que el pacient adopti un cop acabat el tractament. Si per exemple es tracta d’una persona fumadora o es consumeix de manera recurrent cafè o vi, els efectes del blanquejament tindran menys durada.
El teu dentista podrà avaluar a posteriori quan és apropiat fer un tractament recordatori.
El Blanquejament dental pot ocasionar dany a l’esmalt dental?
Rotundament no. Hi ha diverses investigacions que indiquen que no hi ha efectes adversos a l’esmalt dental causats per sistemes de blanquejaments.
Té un Blanquejament efectes secundaris?
Hi ha un mínim percentatge de persones que poden experimentar sensibilitat a les temperatures extremes després del tractament, però aquesta sol desaparèixer en un termini de 48h.

Formulari de contacte
Els camps amb * són obligatoris
