La cirurgia oral i la implantologia dental permeten diagnosticar i tractar quirúrgicament lesions relacionades amb les dents i els maxil·lars. Els implants dentals substitueixen les arrels naturals de les dents perdudes. Solen ser de titani i permeten subjectar corones o ponts que faran la funció de les dents. Així l’objectiu dels implants és funcional i estètic.

Cirurgia i Implants Dentals
La Cirurgia Bucal és la més antiga de les especialitats de l’odontologia.
Aquesta especialitat s’enfoca en el diagnòstic i el tractament quirúrgic de les malalties que es produeixen a la boca, dents, genives, maxil·lars i altres teixits relacionats amb la cavitat oral i la cara.
La cirurgia oral comprèn tota mena d’extraccions, com ara els queixals del seny, regeneració d’os i geniva mitjançant diferents tècniques, extirpació de lesions i anàlisi histològica dels mateixos, a més dels implants.
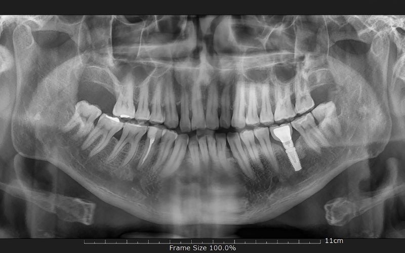
Els Implants dentals són una de les millors solucions que existeixen avui dia per substituir la pèrdua d’una dent.
Són uns additaments de titani que s’insereix a l’os mitjançant una intervenció quirúrgica. Tenen la funció de crear una arrel artificial. Posteriorment, es col·locarà una pròtesi a sobre que substituirà la dent perduda.


Per què serveixen els implants dentals?
Mantenen l’anatomia. Si falten dents, l’os comença a contraure’s amb el pas del temps. Una pèrdua d’os excessiva pot fer retrocedir la línia de la mandíbula i canviar-ne l’estructura facial.
Mantenen les dents sanes. Constitueixen una millor alternativa a llarg termini als ponts ja que s’elimina la necessitat de llimar dents sanes quan es substitueix una o més dents adjacents. Les dents naturals sanes no es posen en perill.
Els implants dentals serveixen per reemplaçar dents perdudes o greument danyades, millorant la funció oral i l’estètica de la boca.
Avantatges dels implants dentals:
– Restaurar la capacitat de mastegar i parlar: Els implants dentals permeten a les persones mastegar aliments de manera efectiva i parlar i pronunciar sense dificultats.
– Millorar l’aparença estètica: Els implants dentals estan dissenyats per assemblar-se a les dents naturals, cosa que ajuda a millorar l’aparença del somriure i la confiança en un mateix.
– Prevenir la pèrdua òssia: Quan es perd una dent, l’os on s’allotja inicia un procés de desaparició gradual. Avançar-nos en la col·locació de l’implant interromp el procés de reabsorció de l’os.
– Estabilitat i comoditat: A diferència de les dentadures postisses, que es poden moure, els implants dentals són fixos i es perceben com a dents naturals. A més, les solucions antigues com ponts o aparells removibles tenen l’inconvenient que no interrompen la pèrdua d’os associada a la pèrdua de la dent. A més, han d’anar recolzats en dents veïnes que acaben patint un excés de càrrega.
– Major sabor en els aliments: Els implants dentals no cobreixen el paladar, com sí que passa amb algunes pròtesis removibles, per la qual cosa augmenta el sentit del gust.
– Preservar l’alineació de les dents: La manca d’una dent pot provocar que les dents adjacents es desplacin, cosa que acaba provocant una maloclusió dental. Així doncs els implants dentals ajuden a mantenir les dents al seu lloc.
– Durabilitat: Els implants dentals, amb una bona cura duren molts anys.
Formulari de contacte
Els camps amb * són obligatoris
