Skip to content

Estètica Dental

Actualment tots els tractaments de la Odontologia estan lligats al concepte d’estètica dental. Així doncs, l’objectiu és aconseguir restablir la funció amb el millor resultat estètic possible.

Demanar informació

Casos realitzats d’estètica dental

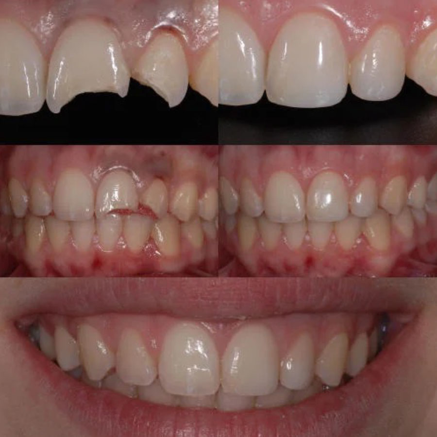
Cas 1

Traumatisme per caiguda, resolt amb carilles de resina.

Cas 2

Carilles de ceràmica per millorar l’estètica.

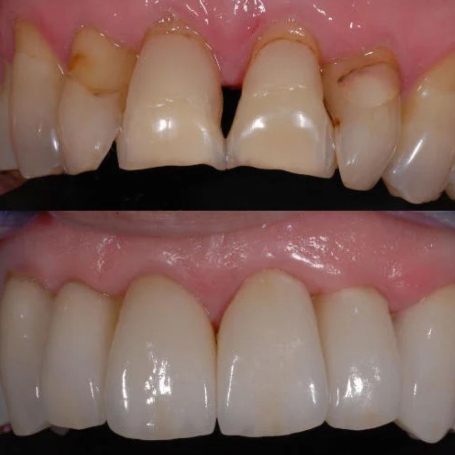
Cas 3

Carilla de resina per millorar l’estètica

Inici

Final

L’objectiu de l’odontologia estètica és millorar l’aparença estètica de la boca del pacient, corregint la forma de les dents, millorant-ne el color, ocultant fractures i danys estructurals o solucionant problemes de desgast, entre d’altres. Aquests tractaments estan especialment recomanats per a aquelles persones que no estan satisfetes amb l’aparença o la forma del somriure.

Els tractaments utilitzats habitualment per millorar l’estètica dental dels nostres pacients són:
1. Carilles dentals
2. Ortodòncia
3. Implants dentals
4. Blanquejament dental
5. Periodòncia

Amb la combinació de tots o algun d’aquests tractaments podem proporcionar als nostres pacients una millora de la salut dental i estètica.

Carilles dentals

Les carilles dentals són un tractament estètic que consisteix en unes fines làmines generalment inferiors a un mil·límetre de gruix que es fixen sobre la part visible d’una o diverses dents. Les carilles milloren l’aspecte estètic del seu somriure, ja que són capaces de modificar la forma, posició i color de les dents, sent aquest un mètode conservador i poc invasiu per modificar l’estètica o el disseny del somriure en dents anteriors.

Hi ha dos tipus de carilles, de porcel·lana i de composite.

Avantatges de les carilles de porcel·lana

– Aspecte natural: color i forma igual a les dents naturals.

Personalització: Les carilles de porcel·lana poden ser personalitzades per adaptar-se al color, forma i mides exactes que desitges per a les teves dents.

– Durabilitat: poden durar 15 anys o més amb les cures adequades.

– Resistència a les taques: La porcel·Lana és resistent a les taques d’aliments i begudes com el cafè, el te i el vi negre, cosa que significa que el tractament manté la brillantor i el color de la dentadura de manera indefinida.

Tractament poc invasiu i que no genera cap mena de dolor ni molèstia per al pacient que el porta.

Procediment ràpid: En general, el procés de col·locació de les carilles de porcel·lana es pot completar en dues visites al dentista.

Fàcil cura: Un cop col·locades només necessites seguir una bona higiene bucal i visitar regularment el teu dentista per a revisions i neteges.

Avantatges de les facetes de composite

– Procés més ràpid: El procés per col·locar carilles de composite és sovint més ràpid que el de les carilles de porcel·lana. En general, es poden col·locar en una sola visita al dentista, ja que no requereixen fabricació a un laboratori dental.

– Menor cost: En general, les carilles de composite són més econòmiques que les de porcel·lana, la qual cosa les fa més accessibles per a persones que tenen un pressupost limitat.

– Reparabilitat: A diferència de les carilles de porcel·lana, que generalment han de ser reemplaçades si es fan malbé, les carilles de composite poden reparar-se fàcilment si es fan malbé, la qual cosa pot resultar en un menor cost a llarg termini.

– Procediment no invasiu: gràcies a les característiques tècniques dels seus materials, per aplicar les carilles de composite a les dents no es necessita massa preparació prèvia de l’esmalt dental, cosa que pot resultar en menys sensibilitat dental després del procediment.

– Reversibilitat del tractament: si decideixes que les carilles de composite no són adequades per a tu o desitges un canvi en el futur, generalment es poden treure més fàcilment que les carilles de porcel·lana sense causar dany significatiu a les dents subjacents.

Formulari de contacte

Els camps amb * són obligatoris

    Back To Top