L’ortodòncia és l’àrea de l’odontologia que s’ocupa de la correcció de la posició de les dents i del control del creixement dels maxil·lars. Cal fer un estudi previ, un diagnòstic correcte i elaborar un pla de tractament individualitzat. Es pot realitzar a qualsevol edat aconseguint excel·lents resultats. L’objectiu de l’ortodòncia no només és millorar l’estètica, sinó també la funció i a la vegada permet millorar la higiene oral.

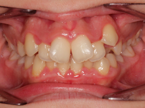
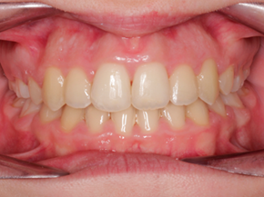
Casos realitzats d’Ortodòncia
Què és l’Ortodòncia?
L’ortodòncia és una especialitat dins de l’odontologia que s’encarrega d’estudiar, prevenir i corregir qualsevol tipus de mala oclusió, com ara desviacions en la posició de les dents, apinyaments o diastemes (espais entre les dents), o problemes de mossegada, per restablir l’equilibri entre la forma i la funció de la boca millorant també l’estètica facial.

Per què es té una mala oclusió?
La causa principal és hereditària, encara que també pot ser adquirida, és a dir, que es desenvolupa amb el temps. Fets com l’ús prolongat del xumet o biberó, llepar-se el dit, respirar per la boca, la càries, mala higiene dental, pèrdua prematura de les dents de llet o accidents, poden desencadenar també una mala oclusió.
Com es tracta la mala oclusió?
La mala oclusió es pot tractar mitjançant dos tipus d’aparells: APARELLS FIXES (aparells que, un cop instal·lats només poden ser retirats per un professional) i APARELLS REMOVIBLES (poden ser retirats de la boca pel propi pacient). Aquests aparells treballen aplicant pressió suau sobre les dents i ossos.
L’ortodòncia pot ser aplicada tant en nens com en adults, encara que els tractaments en nens i adolescents solen ser més efectius pel fet que els seus ossos maxil·lars encara estan en creixement. És important fer avaluacions regulars i consultar amb un ortodoncista per determinar el moment adequat i el tipus de tractament necessari per a cada cas específic.
En qualsevol cas, cada cop és més habitual la demanda d’ortodòncia entre adults. L’espectacular millora estètica dels aparells fixos d’ortodòncia (bràquets) permet que els adults descontents amb l’aparença estètica i/o funcional de la boca deixin de sentir-se limitats i adoptin l’ortodòncia amb naturalitat. Els braquets de ceràmica, de color
similar al de les dents, passen gairebé desapercebudes per a les altres persones. A més, hi ha la possibilitat d’usar sistemes d’ortodòncia invisible, com els alineadors transparents (com Invisalign).

Per què és important col·locar-se Ortodòncia?
A més dels coneguts avantatges estètics que motiven un tractament d’ortodòncia, hi ha altres avantatges molt importants relacionats amb la funcionalitat de la boca i la salut del pacient.
Les dents mal alineades («apinyades») són difícils de rentar. Així doncs, poden contribuir a càries, malalties de les genives i pèrdua de les dents. Una mala mossegada pot causar un desgast anormal de les dents, dificultat per mastegar i parlar, una tensió excessiva a l’os de suport i geniva i possibles problemes d’articulació de la mandíbula.
Formulari de contacte
Els camps amb * són obligatoris








