
Casos realitzats de Pròtesis Dental
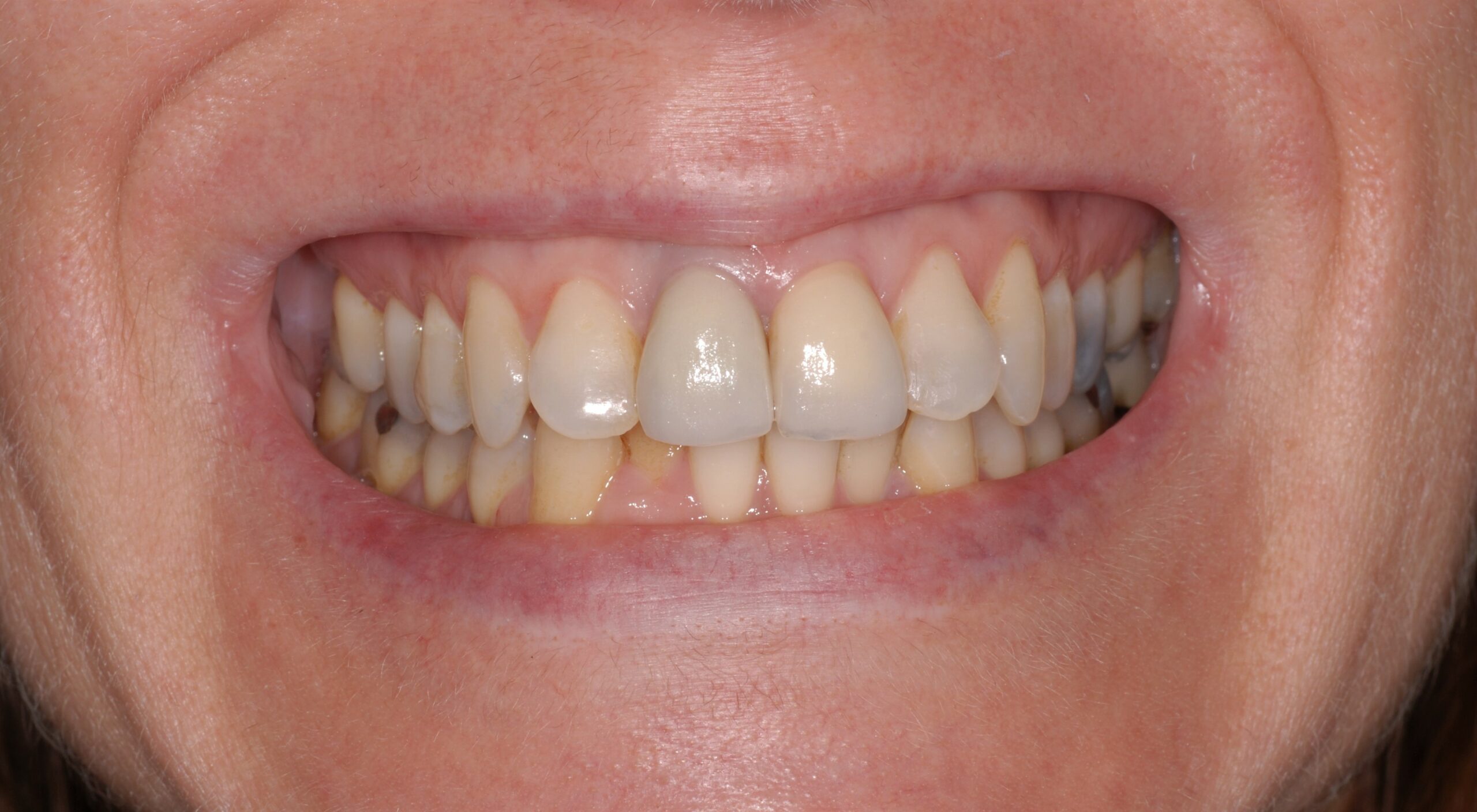
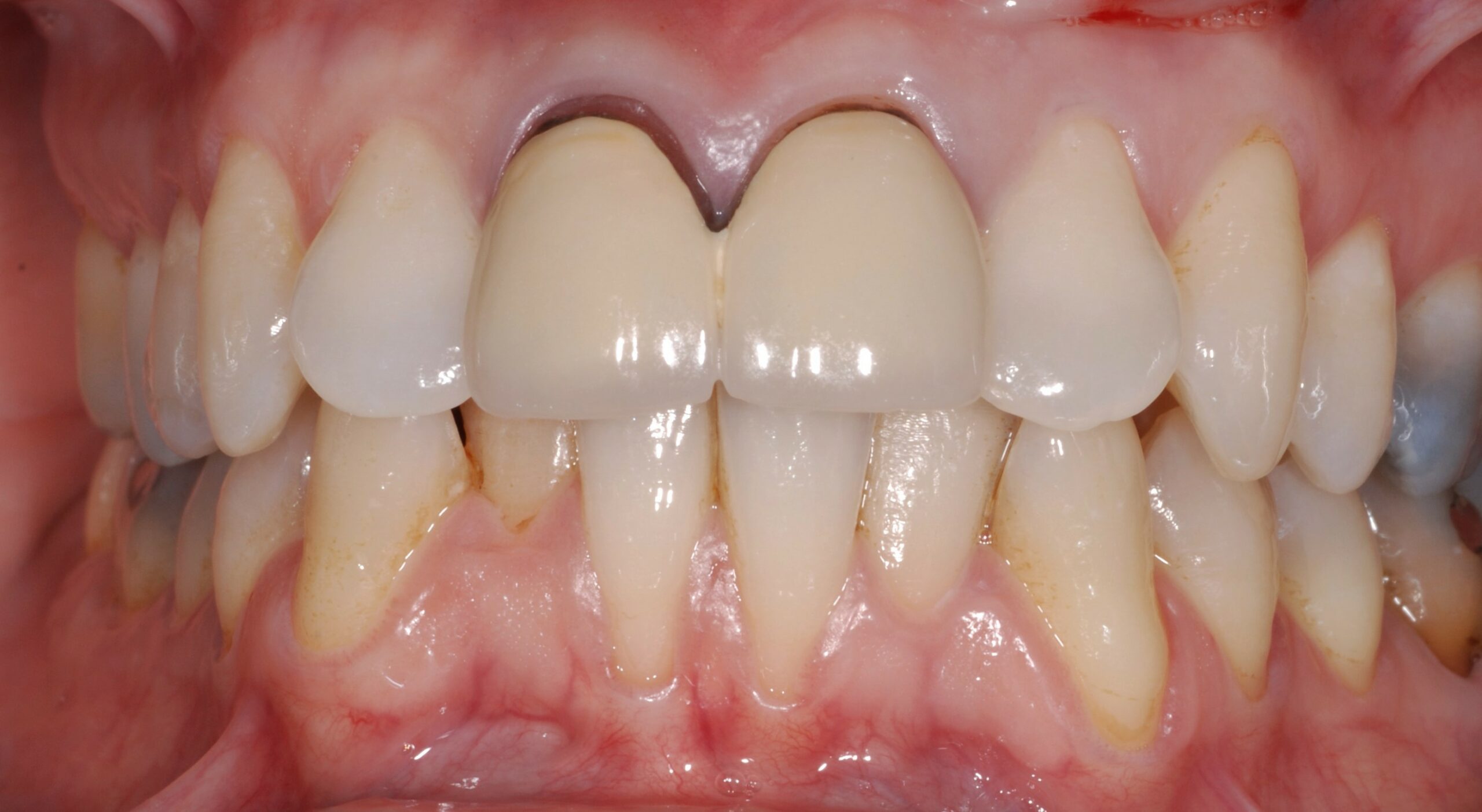
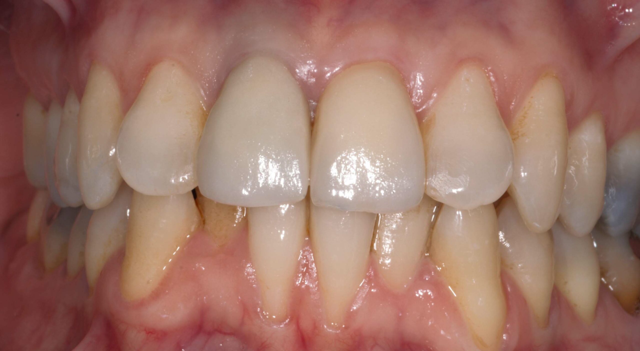
Cas 2
Rehabilitació fixe amb ceràmica sobre implants

Inici | Final
Què és una pròtesi dental?
Una pròtesi dental són dents artificials que es fan servir quan s’ha perdut una, diverses o totes les peces dentals. Les pròtesis dentals poden ser: fixes, removibles o amb implants.
Quan s’han perdut totes les peces dentàries d’un maxil·lar o de tots dos, les persones tenen dues opcions: o utilitzar dentadures completes mòbils o col·locar-se implants per establir les dents de forma fixa.

Tipus de pròtesis dental
Bàsicament hi ha dos tipus de Pròtesis: Fixes i Removibles.
1. Pròtesis Fixes:
- Corones: Són utilitzades per cobrir i protegir una dent danyada o debilitat. Aquestes corones es col·loquen damunt de la dent natural i restauren la seva forma, mida, força i aparença.
- Ponts: Substitueixen una o més dents perdudes, unint les dents adjacents a través de ponts fixos.
- Implants dentals: Dispositius quirúrgicament implantats a l’os maxil·lar o mandibular, serveixen com a arrels artificials sobre les quals es col·loquen dents artificials.

2. Pròtesis Removibles:
- Pròtesis completes: Reemplacen totes les dents en una arcada dental (superior o inferior) i es poden retirar i col·locar fàcilment per rentar-les.
- Pròtesis parcials acríliques o metàl·liques: Substitueixen només algunes dents perdudes i se subjecten a les dents naturals restants mitjançant ganxos o altres mètodes de subjecció. Així doncs aquest tipus de pròtesis ens permet reemplaçar des de peces aïllades a arcades completes, actuant com a pròtesi provisional o bé com a pròtesi definitiva.

L’elecció d’un tipus de pròtesi dental depèn de diversos factors, com ara la salut oral del pacient, el nombre de dents perdudes, la ubicació de les dents absents i les preferències individuals.
Rehabilitació Oral
La rehabilitació oral completa es dóna en aquells casos en què l’estat de les
dents del pacient és deficient, i cal un canvi complet perquè
el pacient recuperi una funció masticatòria i estètica. Es combinen diferents
tractaments com restauracions dentals, pròtesis fixes o removibles, implants dentals
i ortodòncia, amb l’objectiu de tornar al pacient un somriure funcional i estèticament
agradable.
A BD Clínica dental realitzarem un estudi complet de la teva boca i et recomanarem
la millor opció per rehabilitar les dents.
Formulari de contacte
Els camps amb * són obligatoris




